Lactoflora lanza Ciscare FORTE; un aliado innovador para el bienestar urinario

Lactoflora, marca especializada en probióticos de laboratorios Stada, amplía su gama de soluciones para el bienestar íntimo con el lanzamiento de Ciscare FORTE, un complemento alimenticio pensado para cuidar la salud del tracto urinario desde los primeros signos de incomodidad. Fiel a su apuesta por fórmulas innovadoras, Ciscare FORTE combina ingredientes reconocidos por su eficacia: […]
Melissa Corzo debuta con una novela perturbadora y filosófica; ´¿Dónde están los Balderman?´

Editorial Círculo Rojo presenta la primera obra de la autora Melissa Corzo, una historia que mezcla drama, fama, oscuridad y espiritualidad con una mirada profunda a las preguntas más fundamentales de la existencia. CÍRCULO ROJO.- Melissa Corzo, escritora debutante, irrumpe en la escena literaria con su impactante novela “¿Dónde están los Balderman?”, publicada por Editorial Círculo […]
Descubrir, jugar y vivir Altaona, el innovador resort de la Costa Cálida

The Art of Living in Spain, la constructora-promotora murciana encargada del desarrollo integral de Altaona Sports & Wellness Resort, da vida a un concepto innovador que va más allá de ser un complejo residencial. Este resort, el más cercano al centro de Murcia, es un destino donde la exclusividad, naturaleza y el bienestar se fusionan […]
¿Qué implica solicitar un certificado energético sin visita presencial?

El certificado de eficiencia energética (CEE) es un documento oficial que mide el consumo de energía de un inmueble, necesario para su venta o alquiler según el Real Decreto 235/2013. Su finalidad es evaluar el comportamiento energético de los edificios, proponiendo mejoras para optimizar su eficiencia. En este escenario, la opción de gestionar el certificado […]
Grifoxpert se distingue por su propuesta digital en grifería de diseño en España

No es solo agua. Es estilo que fluye. La grifería actual transforma los espacios cotidianos en rincones de carácter, donde cada línea, textura y acabado dice algo del lugar y de quien lo habita. En esta evolución estética y funcional, Grifoxpert introduce una propuesta decidida: grifería de diseño para baños y cocinas que combina precisión, […]
Decoraciones La Mancha apuesta por la calidad nacional en reformas de cocina y baño

La personalización y la fabricación nacional se han convertido en ejes clave a la hora de reformar espacios como la cocina o el baño. En este contexto, la elección de una mesa de cocina adecuada —fabricada a medida y en materiales resistentes como el porcelánico— permite optimizar el uso del espacio sin renunciar al diseño. […]
El peso invisible de las deudas; cómo la Ley de la Segunda Oportunidad devuelve la tranquilidad

No siempre se ve, pero se siente. El peso emocional de las deudas puede condicionar cada decisión, cada noche sin dormir, cada conversación familiar. Se trata de una carga silenciosa que empuja a muchas personas a vivir atrapadas en la ansiedad, sin horizonte claro. Frente a esta realidad, la Ley de la Segunda Oportunidad emerge […]
Moda infantil de ceremonia con historia; la propuesta de Muñeca Rubia

La Primera Comunión representa uno de los hitos más significativos en la vida de un niño o niña dentro de la tradición cristiana. Más allá del simbolismo espiritual y la vivencia personal, esta ceremonia se ha convertido también en un acto familiar de gran emotividad, que convoca a padres, familiares y amigos en torno a […]
Comprar nave industrial en Madrid con Ibernave, una opción estratégica para empresas y pymes

Convertir el ladrillo industrial en una oportunidad de crecimiento se ha convertido en una de las grandes estrategias del momento. Mientras el mercado residencial se estabiliza, el segmento industrial gana protagonismo entre quienes buscan inversiones tangibles, sólidas y con recorrido. En este escenario, comprar nave industrial en Madrid no solo significa adquirir un espacio físico, […]
Editorial Círculo Rojo publica ´Cadáveres con código QR´, la primera novela de Antonio Rubio, médico forense con más de tres décadas de experiencia.

CÍRCULO ROJO.- La editorial Círculo Rojo lanza Cadáveres con código QR, una novela negra escrita por Antonio Rubio, médico forense y profesor universitario jubilado, que debuta en el panorama literario con una obra singular que aúna ciencia forense, tecnología y narrativa interactiva. El libro, que ha requerido tres años de escritura, destaca por su fidelidad […]
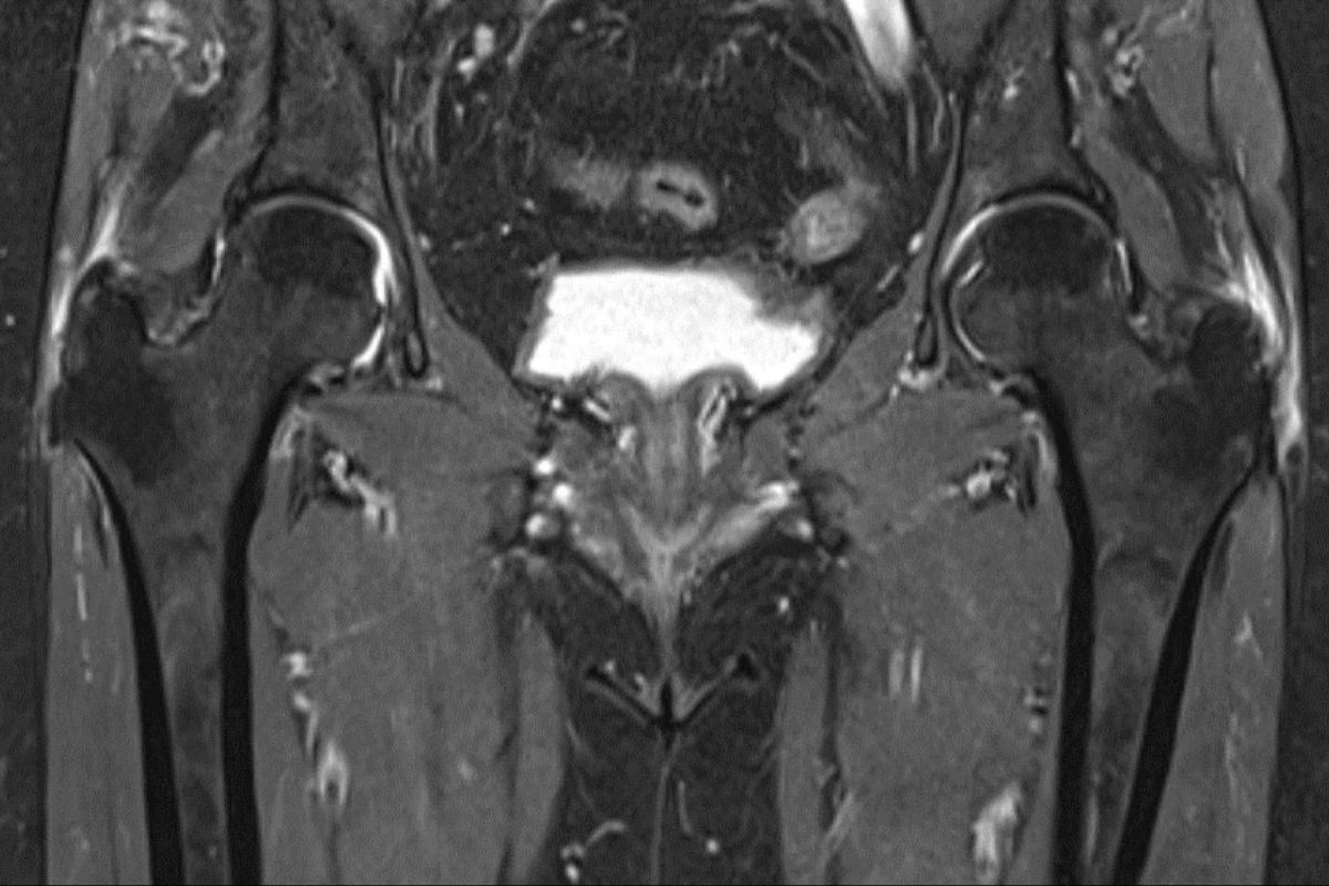
La dolencia de cadera que pocos identifican y los especialistas en cadera sí saben tratar

¿Dolor lateral de cadera que no mejora? Si se cree que se trata de artrosis o una contractura muscular, podrías estar entre el alto porcentaje de personas que padecen trocanteritis, una dolencia muchas veces infradiagnosticada y mal tratada. Un problema más frecuente de lo que parece La trocanteritis, también conocida como bursitis trocantérea, es una […]
Campamento de verano tecnológico en inglés en Torrelodones con enfoque STEM

Green Stone British International School, colegio británico ubicado en la Colonia de Torrelodones (Madrid), lanza su campamento de verano tecnológico y científico para niños y niñas de 1 a 14 años. El STEM Summer Camp, que se desarrollará del 30 de junio al 24 de julio de 2025, propone una experiencia 100 % en inglés […]
Lo que hoy necesitan los directores comerciales; seguimiento, datos y herramientas pensadas para vender

Gestionar un equipo comercial en la actualidad implica mucho más que controlar visitas o analizar resultados mensuales. El rol del director comercial requiere tener visibilidad en tiempo real de lo que sucede en el terreno, disponer de datos relevantes para tomar decisiones y contar con herramientas que permitan estructurar y mejorar el rendimiento general del […]
Sorprender con una tarjeta regalo en Madrid y crear recuerdos inolvidables con The Nook

The Nook propone regalar momentos únicos con sus Tarjetas Regalo en Madrid, ideales para momentos únicos o rutinas especiales Una opción moderna, flexible y emotiva que acierta siempre y convierte cualquier ocasión en algo especial. En una ciudad llena de planes como Madrid encontrar el regalo perfecto para sorprender a alguien especial puede ser un reto. ¿Cómo […]
Abierta una nueva inscripción para los Másters de Sports Data Campus en colaboración con la UCAM

Sports Data Campus, en colaboración con la Universidad Católica de Murcia (UCAM), abre una nueva convocatoria para la mayor oferta formativa de su historia en el ámbito del análisis de datos deportivos. Esta propuesta está diseñada para formar a los perfiles más demandados del sector, combinando excelencia académica, innovación tecnológica y una conexión directa con […]
Ferrocano Suministros lanza guía completa para el mantenimiento de piscinas en temporada estival

La llegada de las altas temperaturas activa la necesidad de poner a punto uno de los espacios más valorados durante el verano: la piscina. En este contexto, resulta fundamental contar con los productos adecuados para garantizar un uso seguro, eficiente y agradable. Con más de dos décadas de experiencia en el sector, Ferrocano Suministros se […]
La magia transformadora de las velas de miel

Las velas de miel han sido utilizadas desde tiempos remotos por su gran simbolismo y poder energético. Su componente estrella, la miel, ha sido considerada como un elemento de transformación, abundancia y dulzura, lo que confiere a estas velas una capacidad especial para atraer energías positivas. Con un proceso de fabricación 100% artesanal que conserva […]
Grandes Metas apuesta por el adiestramiento de cachorros en Madrid con programas educativos individualizados

El entorno urbano actual presenta numerosos retos para la convivencia con perros, desde la gestión del comportamiento en espacios públicos hasta la adaptación a la rutina doméstica. En este contexto, la figura del adiestrador de perros en Madrid a domicilio ha adquirido una especial relevancia por su capacidad para ofrecer intervenciones adaptadas a las dinámicas […]
Una madre logra cancelar 139.000 € de deuda heredada tras el fracaso del negocio familiar

Tras años atrapada en deudas originadas por un negocio fallido, la Ley de Segunda Oportunidad permite a esta madre divorciada salir de una espiral de deudas Sin Deuda Group ha logrado la cancelación de una deuda de 139.000 euros mediante la Ley de Segunda Oportunidad, en el caso de una madre que se vio atrapada […]
China podría prescindir de las importaciones estadounidenses de energía y productos agrícolas

Las autoridades chinas han expresado este lunes su confianza en cumplir sus metas de crecimiento y desarrollo económico independientemente de cómo evolucione la situación internacional, subrayando que el país puede superar sin problema la reducción por completo de las importaciones de energía, así como de productos agrícolas de Estados Unidos en el contexto de la […]